咨询电话

15221734409

当前位置:首页  >  技术文章  >  靶向 OXCT1 介导的酮代谢可重塑巨噬细胞,并通过 CD8+ T 细胞增强肝细胞癌的抗肿瘤免疫

靶向 OXCT1 介导的酮代谢可重塑巨噬细胞,并通过 CD8+ T 细胞增强肝细胞癌的抗肿瘤免疫

更新时间:2024-12-16 11:38:42       点击次数:539

该研究探讨了3-氧酸辅酶A转移酶1OXCT1在肝细胞癌(HCC)中的免疫调节作用,特别是其在肿瘤相关巨噬细胞TAMs)中的作用,以及如何通过调节CD8+ T细胞的抗肿瘤免疫反应来影响HCC的进展。文章的主要发现和结论如下:

 

1.png


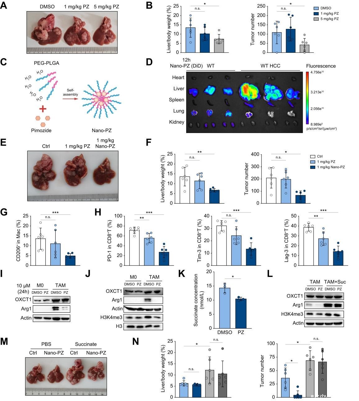
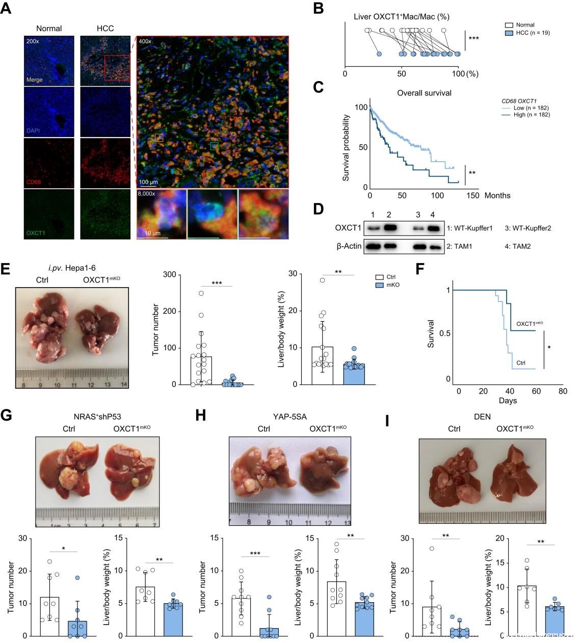
OXCT1HCC中的作用:研究发现,OXCT1HCC细胞中高表达,并通过促进肿瘤进展来激活酮解作用。此外,OXCT1TAMs中的表达也增加,且与患者的预后不良相关。


米兰俱乐部足球推荐计划生物已建立完善的生物信息学分析与靶点挖掘平台,涵盖常见的人、小鼠、大鼠等物种的自测数据和公共数据分析。该研究中所使用的转录组测序、单细胞测序、细胞通讯、轨迹分化等分析和结果结果,我们均可以实现。

2.jpg

OXCT1TAMs的影响:研究通过在小鼠模型中敲除巨噬细胞中的OXCT1OXCT1mKOmKO),发现OXCT1的缺失可以抑制肿瘤生长,通过重新编程TAMs向抗肿瘤表型转变,减少CD8+ T细胞的耗竭,并增加CD8+ T细胞的细胞毒性。

3.jpg

OXCT1、琥珀酸和Arg1轴:研究揭示了OXCT1高表达在TAMs中诱导琥珀酸积累,琥珀酸通过增加Arg1启动子区域的H3K4me3水平来促进Arg1转录。此外,OXCT1的抑制剂PimozidePZ)能够抑制Arg1表达和TAMs向促肿瘤表型的极化,从而减少CD8+ T细胞的耗竭和减缓肿瘤生长。

4.jpg

OXCT1作为治疗靶点:研究表明,通过抑制OXCT1活性来治疗HCC是一种潜在的有效方法。研究还发现,PZ能够通过影响OXCT1-琥珀酸-H3K4me3-Arg1来抑制HCC生长。


5.jpg

6.jpg

研究方法:研究使用了多种方法,包括多重免疫组化实验、流式细胞术、RNA测序、单细胞RNA测序、ChIP测序、代谢物分离和液相色谱分析等。

 

结论:研究结果表明,OXCT1TAMs中的活性抑制可以作为一种有效的HCC治疗方法,通过表观遗传学机制抑制抗肿瘤免疫反应。

这篇文章提供了关于OXCT1HCC中作用的新见解,并为开发新的HCC治疗策略提供了科学依据。

 

7.png




扫码关注

邮箱:yilaibo@shyilaibo.com

地址:上海市宝山区长江南路180号长江软件园B650

版权所有© 米兰官网首页登录入口(官方)网站/网页版登录入口V5.2.1 All Rights Reserved    备案号:沪ICP备2021016661号-1     sitemap.xml    管理登陆    技术支持:化工仪器网    

沪公网安备 31011302006672号

Baidu
map