咨询电话

15221734409

当前位置:首页  >  案例中心  >  ALP实验

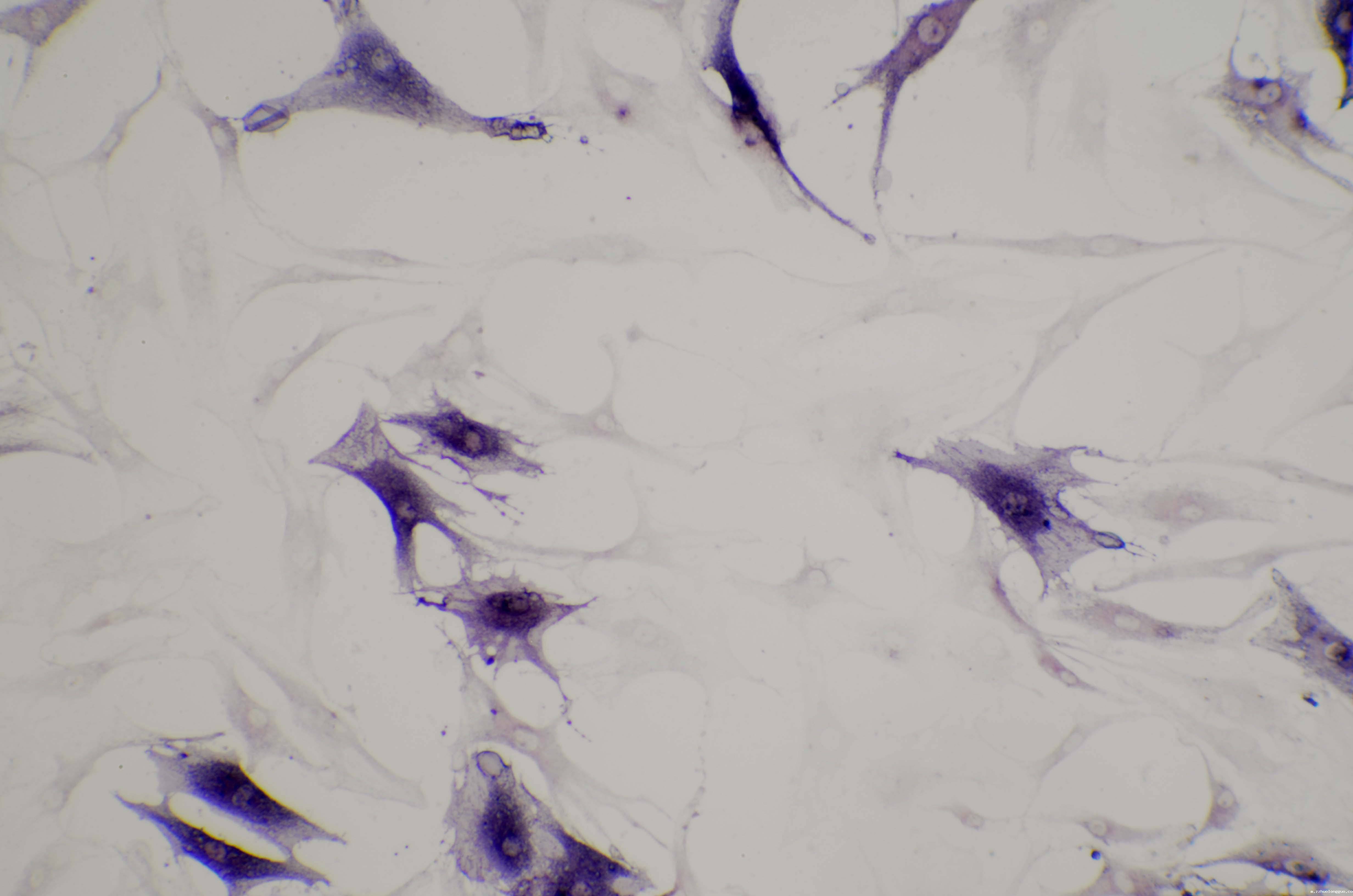
ALP实验
发布时间:2024-02-21 00:00:00       点击次数:5712

      

 

扫码关注

邮箱:yilaibo@shyilaibo.com

地址:上海市宝山区长江南路180号长江软件园B650

版权所有© 米兰官网首页登录入口(官方)网站/网页版登录入口V5.2.1 All Rights Reserved    备案号:沪ICP备2021016661号-1     sitemap.xml    管理登陆    技术支持:化工仪器网    

沪公网安备 31011302006672号

Baidu
map